La silhouette cardiaque, telle qu'observée sur une radiographie thoracique de face, est un indicateur visuel fondamental de la santé du cœur et des structures avoisinantes. Les variations dans ses contours peuvent révéler des pathologies sous-jacentes dont la compréhension est cruciale pour un diagnostic précis. Parmi ces variations, le "comblement de l'arc moyen gauche" est une observation radiologique qui mérite une attention particulière, car elle peut signaler des anomalies significatives, notamment liées à la dilatation des cavités cardiaques ou à des problèmes vasculaires pulmonaires.
La Silhouette Cardiaque : Un Indicateur Anatomique Clé
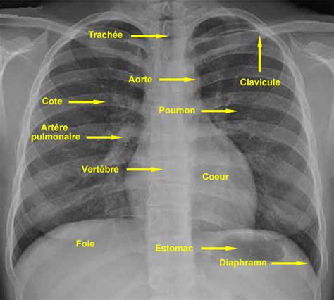
La radiographie thoracique, en particulier l'incidence de face, permet d'évaluer la taille et la forme du cœur, ainsi que les contours des gros vaisseaux qui l'entourent. Une dilatation des cavités cardiaques est l'une des causes principales de modifications de la silhouette cardiaque. Cette dilatation se traduit souvent par une cardiomégalie, définie par un index cardio-thoracique supérieur à 0,5, une mesure qui compare la largeur maximale du cœur à la largeur maximale du thorax.

L'analyse détaillée des différents arcs de la silhouette cardiaque permet de localiser précisément les anomalies. Par exemple, une dilatation de l'oreillette droite se manifeste par un élargissement de l'arc inférieur droit, lui conférant un aspect plus convexe. De même, une dilatation du ventricule droit entraîne une saillie de l'arc inférieur gauche, lui donnant un aspect arrondi et surélevé au niveau de la pointe. Une dilatation importante de l'oreillette gauche peut provoquer un aspect de double contour de l'arc inférieur droit et, de manière significative pour notre sujet, une saillie de l'arc moyen gauche. Enfin, une dilatation du ventricule gauche se traduit par une saillie de l'arc inférieur gauche qui tend à se rapprocher de la partie latérale du thorax.
L'Arc Moyen Gauche et ses Implications
L'arc moyen gauche, dans une radiographie thoracique normale, est principalement formé par la crosse aortique et l'artère pulmonaire. Lorsque cet arc présente une saillie anormale, cela peut indiquer plusieurs pathologies. La dilatation de l'artère pulmonaire est une cause fréquente de cette saillie. L'artère pulmonaire est le vaisseau qui transporte le sang désoxygéné du ventricule droit vers les poumons. Sa dilatation peut être le signe d'une hypertension pulmonaire, une condition où la pression sanguine dans les artères pulmonaires est anormalement élevée.

Cette dilatation de l'artère pulmonaire, entraînant une saillie de l'arc moyen gauche, est l'un des signes radiologiques observés dans le cadre de l'œdème pulmonaire aigu. L'œdème pulmonaire aigu est une condition médicale grave caractérisée par une accumulation soudaine de liquide dans les alvéoles et l'espace interstitiel des poumons. Cette accumulation est due à une augmentation de la pression dans les capillaires pulmonaires, qui force le liquide plasmatique à s'infiltrer dans le tissu pulmonaire. Initialement, cela se manifeste par un œdème interstitiel, puis, si la pression persiste ou augmente, par un œdème alvéolaire, où le liquide remplit les sacs d'air des poumons, entravant gravement l'échange d'oxygène.
L'Œdème Pulmonaire Aigu : Une Urgence Thérapeutique
L'œdème pulmonaire aigu peut avoir diverses origines, notamment cardiaques (insuffisance cardiaque aiguë) ou non cardiaques (syndrome de détresse respiratoire aiguë - SDRA, insuffisance rénale, etc.). Sur le plan radiologique, outre la dilatation de l'artère pulmonaire et la saillie de l'arc moyen gauche, d'autres signes peuvent être présents. L'augmentation de la pression capillaire pulmonaire peut entraîner une redistribution du flux sanguin vers les régions supérieures des poumons, visible par une dilatation des vaisseaux des lobes supérieurs. Un épaississement des septa interlobulaires, correspondant à l'œdème interstitiel, peut également être observé, créant des opacités linéaires ou réticulaires aux limites nettes. Dans les cas plus avancés, l'œdème alvéolaire se traduit par des opacités alvéolaires confluentes, souvent bilatérales et prédominant dans les régions périhilaires et les bases pulmonaires, pouvant parfois simuler une pneumonie. L'absence de bronchogramme aérien dans ces opacités alvéolaires, s'ils sont d'origine purement liquidienne, peut aider à les différencier d'une condensation d'origine infectieuse.
15. L'oedème pulmonaire: le coeur et les poumons sont indissociables
Le Médiastin : Une Région Anatomique Cruciale
Le médiastin, la région centrale du thorax située entre les deux poumons, abrite des structures vitales telles que le cœur, l'aorte, la trachée, l'œsophage et les ganglions lymphatiques. Les contours médiastinaux, visibles sur les radiographies de thorax, fournissent des informations précieuses sur l'état de ces organes. À droite, l'arc supérieur correspond au tronc veineux brachio-céphalique droit, l'arc moyen à la veine cave supérieure, et l'arc inférieur à l'atrium droit et, dans une moindre mesure, à la veine cave inférieure. Le hile pulmonaire gauche est physiologiquement situé légèrement plus haut que le hile droit.
Les anomalies médiastinales, y compris la cardiomégalie, peuvent déformer ces contours. L'élargissement du médiastin, qu'il soit supérieur, moyen ou inférieur, peut être détecté sur une radiographie thoracique. Cependant, pour une caractérisation précise de la lésion et de sa localisation, la tomodensitométrie (TDM) thoracique avec injection de produit de contraste est l'examen de choix.

Masses Médiastinales : Un Spectre de Possibilités Diagnostiques
Les masses médiastinales, définies comme une présence anormale d'une structure dans le médiastin, constituent un groupe hétérogène de lésions pouvant être bénignes ou malignes. Elles sont classées selon leur localisation : médiastin antérieur, moyen et postérieur. L'étiologie de ces masses varie considérablement selon l'âge du patient.
- Médiastin antérieur (pré-vasculaire) : Chez l'adulte, les causes fréquentes incluent les thymomes, les kystes bénins et les lymphomes (Hodgkin et non hodgkiniens).
- Médiastin moyen (viscéral) : On y retrouve des kystes bénins, une hypertrophie des ganglions lymphatiques (lymphome, sarcoïdose, tuberculose, cancer du poumon) et des masses vasculaires.
- Médiastin postérieur (paravertébral) : Les tumeurs neurogènes et les anomalies de l'œsophage sont les causes les plus courantes.
Chez l'enfant, les tumeurs et kystes neurogènes sont plus fréquents. Des conditions rares comme la médiastinite chronique fibrosante, souvent d'origine infectieuse (tuberculose, histoplasmose), peuvent également se manifester sous forme de masses médiastinales.
Diagnostic et Traitement des Masses Médiastinales
La symptomatologie des masses médiastinales est variable. Beaucoup sont asymptomatiques et découvertes fortuitement. Lorsque des symptômes sont présents, ils peuvent inclure des douleurs thoraciques, une perte de poids, de la fièvre (notamment dans les lymphomes). Chez l'enfant, une compression trachéobronchique peut entraîner stridor, toux récurrente ou pneumonies. La localisation de la masse influence les symptômes : les masses antérieures peuvent causer une dyspnée en décubitus, les masses moyennes peuvent entraîner un syndrome cave supérieur, et les masses postérieures peuvent provoquer une dysphagie.
Le diagnostic repose initialement sur la radiographie thoracique, mais la TDM thoracique avec injection de produit de contraste est l'examen de référence pour préciser la localisation et caractériser la lésion. L'IRM peut être utile pour les lésions kystiques ou pour évaluer l'envahissement des structures adjacentes. Un diagnostic de certitude est souvent obtenu par biopsie à l'aiguille fine ou par biopsie à l'aiguille coupante, en fonction de la suspicion diagnostique.
Le traitement des masses médiastinales est étiologique. Certaines lésions bénignes peuvent être surveillées. Les tumeurs malignes nécessitent souvent une exérèse chirurgicale, bien que les lymphomes soient traités par chimiothérapie. Les maladies granulomateuses sont traitées par des agents antimicrobiens. La prise en charge des voies respiratoires chez les patients avec des masses médiastinales antérieures nécessite une extrême prudence, avec une attention particulière à la position du patient pour éviter une détresse respiratoire aiguë, notamment lors de la sédation.
La Coronarographie : Une Imagerie Spécifique des Artères Coronaires
Bien que distincte de l'analyse de la silhouette médiastinale, la coronarographie est mentionnée dans les informations fournies et mérite d'être brièvement évoquée pour compléter le tableau des imageries thoraciques. La coronarographie est l'examen de référence pour diagnostiquer la maladie coronarienne. Elle permet de visualiser le nombre, la localisation et la sévérité des sténoses des artères coronaires. Une sténose est définie par une réduction du calibre de la lumière coronaire supérieure à 50%, et considérée comme serrée au-delà de 70%. L'estimation visuelle des sténoses en pratique quotidienne a tendance à surestimer leur importance. L'aspect angiographique de la sténose est un élément prédictif du risque lors d'une éventuelle angioplastie.

La Radiographie Thoracique : L'Examen d'Imagerie le Plus Pratiqué
En France, la radiographie thoracique demeure l'examen radiologique le plus répandu, avec environ 13 millions de clichés réalisés annuellement, principalement chez des patients hospitalisés. Son interprétation nécessite le respect de critères de qualité stricts pour éviter les faux diagnostics ou la dissimulation d'anomalies. Une radiographie de mauvaise qualité, mal cadrée ou mal inspirée, peut générer des images trompeuses (syndrome interstitiel, foyer de condensation, cardiomégalie, masse médiastinale) ou masquer des pathologies existantes.
L'interprétation d'une radiographie thoracique implique l'analyse des différents éléments anatomiques, y compris les structures médiastinales et les contours cardiaques. Le signe de la silhouette est un outil précieux pour localiser une opacité en déterminant si elle est en contact avec une structure de densité similaire, rendant leurs contours indistincts.
La Tomodensitométrie Thoracique : Un Outil Diagnostique Avancé
La TDM thoracique, bien que plus irradiante que la radiographie, offre une résolution spatiale et une capacité de caractérisation des tissus nettement supérieures. Elle est indispensable pour l'analyse détaillée du parenchyme pulmonaire et du médiastin, surtout lorsqu'elle est réalisée avec injection de produit de contraste. L'analyse dynamique sur console de travail, avec des possibilités de reconstructions multiplanaires, permet une évaluation approfondie des structures vasculaires, des ganglions lymphatiques et des masses. L'étude des temps d'opacification artérielle pulmonaire, aortique et veineuse après injection de produit de contraste est fondamentale pour le diagnostic des pathologies vasculaires et des anomalies médiastinales. La détection et la caractérisation des adénomégalies, définies par des ganglions lymphatiques dont le petit axe dépasse 10 mm, sont facilitées par l'injection. La présence de calcifications dans les ganglions peut orienter vers des séquelles infectieuses ou des maladies granulomateuses chroniques.
La Scintigraphie Pulmonaire et la TEP-TDM : Des Examens Fonctionnels et Métaboliques
La scintigraphie pulmonaire de ventilation-perfusion, indiquée principalement dans la recherche d'embolie pulmonaire, évalue la distribution régionale de la ventilation et de la perfusion sanguine dans les poumons. Des anomalies de perfusion non corrélées à un défaut de ventilation sont caractéristiques d'une embolie pulmonaire.
La Tomographie par Émission de Positons couplée à la TDM (TEP-TDM) est un examen d'imagerie fonctionnelle et métabolique qui utilise des traceurs radioactifs, tels que le FDG (fluorodésoxyglucose), pour détecter les zones d'hyperactivité métabolique. Elle est particulièrement utile pour caractériser les nodules pulmonaires de taille supérieure à 1 cm et pour le bilan d'extension des cancers pulmonaires, en évaluant l'atteinte ganglionnaire médiastinale et les métastases à distance. La combinaison des images TEP, qui montrent les zones d'hyperfixation du traceur, et des images TDM, qui fournissent l'anatomie, permet une localisation précise des anomalies métaboliques.
tags: #comblement #arc #moyen #gauche
